ホワイトニングの写真です
以前にご紹介したホワイトニングの写真が整理できたので、
報告します。

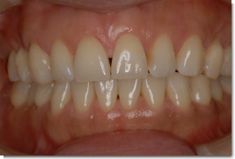
これはホワイトニング前の写真です。
この患者さんはもともとそれほど黄色い歯ではないのですが、
もう少し全体的に白くしたいとのことで行いました。

この写真がティオン(ホワイトニングシステム)使用2週間後の写真です。
僕が見れば変化は明らかですが、こんな写真を見なれてない方は
わかって頂けるでしょうか?
左上側切歯の詰めものの色に変化はありませんが、他の歯はきれいに
白くなりました。
この患者さんはとても満足されていましたが、ここまで白くなると
欲が出てもう少し続けてみたいとのことで、今も継続中です^^。
あんまり白くなりすぎると、芸能人のように少し歯が浮いて見えておかしくなるので
白くしすぎないように注意しておきました^^。
前にも書きましたが、ホワイトニングは患者さんの希望がないと行いません。
→僕の考え方でホワイトニングは”美容”であって、”医療”ではないからです。
希望の方は声をかけて頂きますようお願いします。